아비쥬의원
 
체험후기
> HOME > 커뮤니티 > 체험후기
제목 : 코필러 만족합니다.^^ 등록일 : 14-12-03 14:43

저는 타병원에서 코필러를 레스틸렌으로 했었고
리터치까지 받았었는데, 정말 효과를 못봤어요.
그걸로 인한 안 좋은 기억들도 있기 때문에.
필러를 하고 싶은데 할까말까 되게 고민을 많이 했었어요.
윈클리닉 지점도 되게 많고
청량리점 내원 할때마다 고객수도 많고.
직원분들도 정말 친절하세요.
그래서 제모로 내원을 하다 지금은 피부관리도 받고 필러도!!!!
좋은 마음을 갖고 시술을 받게 되었습니다.
남자원장님께서 진행을 해주셨는데
정말 꼼꼼하게 시술해주시는 느낌을 많이 받아서
기분이 매우 좋았어요.^^
웨딩촬영을 준비하고 있는 저에겐 ㅋㅋㅋㅋㅋㅋㅋ
지금 관리며 시술이며 예민해질수밖에없는데 필러 받고 난 모습을 보니
라인이 정말 이뻐지게 오똑해졌어요. ^^
정말 기분 좋네요.

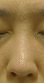
필러 시술 전에 찍은 제 코!
  

필러하고 이뻐진 제 코!
 

이전글 앞광대 필러했어요^^ 2014-12-03
다음글 볼필러+윤곽주사+아쿠아필+비타민 2014-12-03