> HOME > 커뮤니티 > 체험후기
| 제목 : 더블로, 실리프팅받았어요^^ | 등록일 : 14-11-26 17:46 | |||

.bmp)
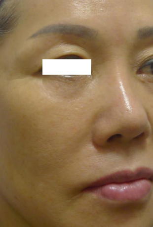
.시술전. .시술후.
저는 청량리윈클리닉에서 더블로, 울트라v 를 받았습니다. 입가 팔자주름 잔주름이 신경쓰여서 큰맘먹고 받게되었습니다. 더블로는 하자마자 일주일뒤부터 얼굴이 땡기는 느낌이 참 신기하더라구요^^ 피부가 건조해서 땡기는느낌과는 전혀틀리더라구요 그리고 팔자주변은 회오리실을 해야된다고 하셔서 30개정도 추가로해서 받았어요 하고나서는 확실히 주변에서 얼굴이 확 피었다면서 혼자 좋은거 먹고 다니는거 아니냐고 하더라구요 ^^ 노화는 계속 진행된다고 하셔서.. 주기적으로 1년에 두번정도 시술할 계획입니다. 다음에도 잘 부탁드려요^^
| 이전글 | 목동에서 코필러를 !!! | 2014-11-26 |
| 다음글 | 눈밑 필러 후기 | 2014-11-26 |