아비쥬의원
 
체험후기
> HOME > 커뮤니티 > 체험후기
제목 : 드디어 지긋지긋한 여드름 피부에서 탈출했답니다~~~ 등록일 : 14-07-30 16:44

피부의 최대 고민 여.드.름!!!!!!
여드름이 조금조금씩 올라와 울퉁불퉁했던 피부때문에
항상 고민이 많았던 제 자신.....ㅠㅠㅠㅠㅠ
고민끝에 이곳저곳 알아본 결과 집에서 가까운 청량리쪽에
윈클리닉이라는 멋스러운 피부과가 있다는 걸 알게 되었답니다~
그래서 저는 바로 청량리 윈클리닉으로 Go~ Go~
친절한 실장님과 상담 끝에 저는 여드름 스켈링 5회 티켓팅을 하였답니다~
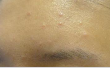
일단 제가 시술받기 전 사진을 먼저 보시겠어용?

                      

위에 사진은 시술 받기 전 볼과 이마에 올라온 여드름이에요ㅠㅠ
하지만!!! 매주 꾸준히 여드름스켈링 5회를 관리받은결과!!!!

                    


요 사진은 제 양쪽 볼 부분이랍니당~
울퉁불퉁한 피부말고 매끈해진 저의 피부 보이시나요???ㅎ_ㅎ
이제는 제 피부에 자신감을 갖고 다닐 수 있게 되어서 너무너무 기쁘답니당^_^
지금 여드름 때문에 고민이 많았던 분들이라면
얼른 청량리 윈클리닉으로 달려가세요~
언니들이 너무 예쁘고 친절하기 까지 해서 기분까지 좋아진답니다^0^
결론은~ 앞으로도 저는 청량리 윈클리닉을 자주 방문해서 꾸준한 관리를 받을 생각이에요!~!!!!

이전글 후기당첨 HPL4회 + 추가 결제 HPL패키지 8회 후기입니다. 2014-07-30
다음글 매부리코 탈출하고 싶어요!!! 2014-07-30