아비쥬의원
 
체험후기
> HOME > 커뮤니티 > 체험후기
제목 : 눈밑필러 했습니다 등록일 : 14-05-22 16:59

신촌 윈클리닉에서  눈밑필러 했습니다~

이상하게 다크써클이 너무 많이 생기고 해서

항상 고민이 많던 차에

항상 신경 많이 써주시는 지점장님의 권유로

필러를 하게 되었습니다!!

아프지 않을까 고민하다 시간을 끌게 되더니 나중에는 결국 하게 되더라구요~

레스틸렌이라는 제품으로 1월에 하게 되었어요

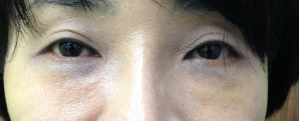
시술 전이예요 일단은 겁이 나기 전이라 그런지 표정이 좀 굳었네요^^;;



시술 후 입니다~ 확연히 눈밑이 팽팽해 진느낌이 있죠?



최근에 찍은 사진이예요

처음에는 생각지도 못한 부분이었으나

하고 난 지금은 너무나도 잘했다는 생각이 들어요

시간이 들면 들수록 자연스러우면서

다크써클도 완화가 되서

사람들이 혈색이 좋아졌다는 이야기도 하고는 합니다

원장님이 항상 경과도 물어봐주시고 ~ 잘 해주셔서 감사합니다~^^

이전글 사각턱보톡스 세번째 ^ ^ 2014-05-22
다음글 코필러(쥬비덤+이브아르)2차후기 2014-05-22