|
제목 : [나비프락셀1회+(인트라셀3회+PRP) +재생관리] 효과 제대로 봤습니다^^ (사진첨부) |
등록일 : 14-05-08 16:27 |
29살이 먹고 이제야 관리를 시작했어요(직장인입니다)
피부과 시술에 앞서 가장 걱정되는 부분
1. 일상생활에 지장이 없는가
2. 각질이 너무 일어나서 (더러워?) 너무 지저분해보이고 검정옷에 막 떨어져서 지저분해 보이지 않을까?
3. 너무 아픈건 아니가
였어요.
24살 즈음에 모자이크 프락셀 비슷한걸 받고는 너무 고생을 해서
(너무 아프고 쓰리고 각질이 이주동안 없어지지 않는바람에 일상생활에 너무 지장이 있더라구요)
5년이 지났으니 기술이 많이 발달했겠찌,, 라고 생각하던 차에
친구의 소개로 시술 받게 되었어요
그 친구의 경과를 매일 보고받고
일상생활에 지장이 크게 없겠다 싶더라구요
드디어 관리를 시작했어요
[시술전]
총체적 난국이었어요
검은 피부에
트러블 + 모공 넓음 + 여드름 흉터 (제일 신경쓰이는 부분)

왼쪽볼이 흉터가 가장 심했어요,,

오른쪽 볼 (흉이 그래도 그나마 깊지 않아서 그런지 3번 시술후 가장 효과본 부위입니다.)

보이시죠?
정말 너무너무 스트레스 받았었습니다.
심지어 예민하고 잠을 못자는 직업상 특징 때문에 환절기, 겨울 만 되면
엄청 가려웠습니다.
게다가 주말 출근 까지 하는 직업이라,,
잠도 제대로 못자고 시간이 비는 주기가 규칙적이지가 못해서 4주 간격으로 받지 못했습니다.
하지만
시술 시작하고 제가 제일 신경쓴부분은
1. 수분 크림 자주 바르기
2. 썬크림 밖에 나갈일만 있으면 꼭발라줬습니다.
3. 되도록이면 낮에 안나갔습니다. (직장인이라,,)
4. 물 2리터 4개월째거의 하루도 안빼먹고 마셨습니다.
잠을 못자니 다른 걸로라도 효과를 보려고 노력했습니다.
나비 프락셀 1회 후 (코, 양볼시술 , 이마제외)
24살의 시술 이후 피부 레이져사 너무 무서워서
프락셀 하기전 마취를 50분이나 하게 해달라고 졸라서
정말,,, 하나도 안아팠어요
( 인제 마취연고가 바뀌어서 30분만 해도 된다구 해요 더 오래하면 오히려 마취가 풀리는 현상이,,)
1차 인트라셀 + PRP (얼굴전체) (1주일후 재생관리)
정말 아팠어요 몇번 레이져로 찍자마자
시술 포기 하고싶었습니다.
하지만 꾹 참고
1일후
노란 진물이 조금씩 생겼고
약간의 멍이 있었습니다.
3일 후 월요일 출근했으나
당당하게 그냥 다녔습니다. (피부에 안좋을것 같고 야근할것 같아서 비비크림 이런거 안발랐어요 )
500명이 넘게 다니는 회사지만 그냥 다녔어요
2차 인트라셀 +PRP (1주일후 재생관리)
이상하게 안아프더라구
원래 받던 원장님 이 아니셔서 그랬는가 했는데
원래 어느정도인지 고통을 인지하면 기억효과때문에 조금 덜 아프다고 하더라구요 (기사에서 읽었던 기억이,,)
3차 인트라셀 +PRP (1주일후 재생관리)
2차때보다는 조금 아팠으나
참을만 했어요
3일째부터는 일상생활 지장 없을정도예요
설명이 길었죠?
인제 그냥 사진 올릴께요 보시면 아세요^^
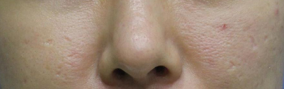
나비프락셀1회 인트라셀3회 이후 사진
.JPG)


친구들 지인들 할거 없이
레이져 이렇게 효과본 사람 없다고 할정도로
좋아졌습니다.
관리후 좋아진점
1. 혈색혈색혈색 (검고 칙칙했는데 많이 뽀얘졌서요)
2. 윤기 (반짝반짝한 피부 처음 가져봐요)
3. 모공 (확실히 모공이 많이 줄었습니다. 프락셀보다 인터라셀 후 효과를 더 본것 같아요)
4. 여드름흉터 (너무 깊어서 그런지 많이 차오르진 않았지만 그래도 3번후에 느껴진 정도예요)
저 관리해주시는 분이
후기 쓰라고 추천해주실 정도였어요 (후기를 쓰는 곳이 있는 것도 몰랐습니다 )
그래도 아직도 큰흉터는 보여요
의사선생님 성함은 기억이 안나요ㅠ
관리해주시는 안선민 선생님 항상 친절히 얘기해주시고 관리해주셔서 감사드립니다.
큰흉터때문에 (하다보니 계속 욕심이 나요 )
인제 인터라셀5회 나비프락셀5회 패키지가 있더라구요
1년 잡고 꾸준히 할생각입니다