> HOME > 커뮤니티 > 체험후기
| 제목 : 코 후기필러 | 등록일 : 13-10-11 13:29 | |||
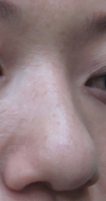
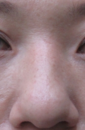
코 필러 후기 입니다
친한 동생과 손잡고 같이 했어요
동생이 더 잘된거 같아 샘나기는 하지만
저도 많이 달라져서 좋아요
아직 리터치는 안했구요
일단 달라진 제모습 ..
ㅡ>
ㅡ>.jpg)
보이시나요
ㅎㅎ
달라진 제모습
더 예뻐지고 싶어요
원장님 부탁드려요
| 이전글 | 팔 비비주사로 이젠 민소매도 자신 있어요!^^ | 2013-10-11 |
| 다음글 | 비만관리후기 카복시+메조+지방분해주사 | 2013-10-11 |