> HOME > 커뮤니티 > 체험후기
| 제목 : 팔자필러 | 등록일 : 13-08-22 12:58 | |||
안녕하십니까~ 82년생 남자입니다^^
제가 나이에 비해 주름이 너무 심한것 같아 고민중에 있었습니다
고민을 알고있던 친척 동생이 윈클리닉에 아시는 실장님이 계시다고 상담받으러 가보자 권유를해
찾아가게 되었지요~
상담을 받았는데 역시 제가 탄력이 많이 떨어져있고 주름도 깊다고 하셨습니다
제가 눈도 나빠 어렸을때부터 항상 인상도 찡그려서 미간주름도 깊고 피부탄력도 없어 팔자주름이
나이때에비해 많이 깊다고하더군요~~
그래서 그럼 이기회에 필러를 맞아보자 하고 결심하게 되었습니다
처음이라 조금 긴장은 했지만 주름이 좋아진다고 하니 기대를 갖고 하게되었습니다
짜짠~~
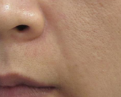
전
후
앞모습이구요~
전
후
옆모습입니다~~
한번 맞고 이주후에 리터치도 있는데 아직 리터치 전이구요~~~
팔자 주름 이 많이 흐렸진걸 느낄수 있습니다
리터치 까지 하게되면 주름이 거이 보이지 않을것 같습니다~~
완성된 모습으로 후기 올릴려고 했는데 리터치 할 시기에는 좀 바빠질것같아 이렇게
미리 후기 올리게 되었습니다~~~
만약 시간되면 리터치후에도 다시한번 후기사진 올리겠습니다
저에 고민인 팔자주름이 좋아지니까 더 젊어진것 같아 기분이 좋네요~~~
정말 감사합니다~~
리터치방문때 다시 찾아뵙겠습니다~~그때도 잘부탁드리겠습니다
| 이전글 | 토닝하고 미백관리 같이 잘 받았습니다 !! ^^ | 2013-08-22 |
| 다음글 | 종아리보톡스 맞고 매일 치마만 입고 다녀요 | 2013-08-22 |