> HOME > 커뮤니티 > 체험후기
| 제목 : 코필러 했어염~~ | 등록일 : 13-08-05 17:07 | |||
안녕하세요~~~
8월에 웨딩촬영을 앞둔 예비신부입니다
평생 단한번뿐인 웨딩촬영을 위해 좀더 예뻐보이고 싶어
코필러를 하게되었습니다
제가 코가 낮은 편은 아니지만 콧등이 살짝 꺼져있고 코끝이 내려가 있어
쁘띠성형을 결정 하게 되었지요~~
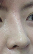
---------------->.png)
전->후 사진입니당~~
콧등도 자연스럽게 체워지고 코끝도 살짝 올라가 코모양이 훨씬
자연스럽고 여성스러워 져 너무넘 만족해요~~
.png)
최근 사진입니다~
주위에서도 예뻐졌다는 소리도 많이 듣고
역시 자연스럽게 예뻐지는데는 쁘띠성형이 최고인것 같아요~~
일상생활에 지장도 없고 시술도 엄청 빨리 끝나서 너무 좋은것 같습니다~~
이러다가 윈클리닉 펜될것 같아요~~~
예쁘게 해주셔서 정말 감사합니다~~
이제 피부때문에 레이져 치료도 받고있는데
자주 찾아뵙겠네요~~~
피부도 이제 시작이라 좋아지면 또 후기 올리겠습니다~~
감사합니다~~~^^
| 이전글 | 팔자필러 후기올려봅니다 ~~~* | 2013-08-05 |
| 다음글 | hpl과 카복시 8주 후기 | 2013-08-05 |