> HOME > 커뮤니티 > 체험후기
| 제목 : 프락셀받았습니다. | 등록일 : 12-12-27 12:38 | |||
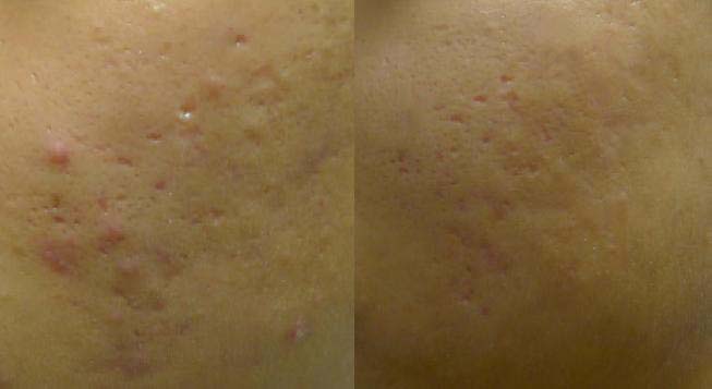
청량리점에서 여드름스켈링 꾸준하게 받다가 ,
여드름이 많이 호전되어 이젠 여드름흉터를 없애고자 프락셀을 진행하였습니다.
역시나 효과만점, 이젠 윤기까지 좔좔 흘러요

정말 처음에는 원장님께서도 아주 많이 진행해야 된다고,,,솔.직.히 전혀 기대안하고
조금이라도 양호.해질길 바라면서 진행하였습니다. 아무래도 아직 저는 미성년자이다보니 가격적으로
부담이 정말 컸습니다..어머니께도 처음에는 많이 부담스러워 하셨지만
이젠 제 얼굴보고 정말 뿌듯해 하시는 미소를 지어주시니까요

청량리지점이 다른지점과는 다르게 붉은기도 오래 안가고 , 각질도 많이 안일어난다고 하셨던거 같아요
매일 등교해야하는 저로서는 .. 아무래도 남자이다보니 학교에서 다른 아이들이 놀리는것도 부끄럽고 창피하기도
하고 , 주로 주말 토요일에 피부관리 받았었는데 월요일날 등교할때보면 진짜 별로 붉지않았어요
음..뭐랄까..음................ 정말 강추위에 바람 좀 맞은 정도의 붉은기정도예요
이렇게까지 좋아질 줄 누가알았겠냐만은... 아직 더 많은 프락셀 관리가 필요하겠지만서도
지금도 아주많이 좋아진것 같아서 정말 세수할때 목욕할때 거울보면서 정말 뿌듯합니다.
이젠 저도 여자친구 만들어 보렵니다 !!!!!!!!!!!!
청량리점 누나들 진짜 너무너무 감사드려요 !!
또 남은 흉터자국 없애려 열심히 알바해서 가겠습니다!!!!!!!!!
| 이전글 | 팔자 필러 맞은 후기 | 2012-12-27 |
| 다음글 | 기미,잡티기우개 레이져토닝 | 2012-12-27 |