아비쥬의원
 
체험후기
> HOME > 커뮤니티 > 체험후기
제목 : 토닝 후기입니다 등록일 : 12-05-29 15:29


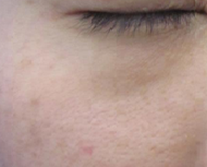
  압구정에서 레이져토닝 치료 받고 있습니다.
  눈밑에 색소가 워낙 진해서 아직 다 깨끗해지진 않았지만
  눈에 띄게 많이 좋아졌습니다.
  무엇보다 피부톤이 화사해졌어요
  주위에서 요새 피부 좋아졌단 소리도 많이 듣고 색소가 아직 있어서 그렇지만
  제가 봐도 피부가 맑아진 느낌입니다.
  처음 상담 받을때 부터 10회 더 해야한다고 해서 큰 기대는 안했지만
  나이 들어가는 것도 서러운데 색소가 늘 신경쓰여 시작한 치료가 
  대~ 만족입니다. 후기까지 쓰게 될 줄은 몰랐거든요;;
  비타민관리라는 것도 같이 하는데 확실히 관리 받고 온 날은 피부에 광이 나요^^ ㅋㅋ
  밑의 사진은 시술 전 후 입니다 ㅋㅋ
  시술 전      시술 후

이전글 사각턱 보톡스 시술후기 입니다 2012-05-29
다음글 물광주사 후기에요 2012-05-29