노원윈클리닉에서 레이저토닝이랑 비타민관리랑같이 10회받았습니다.
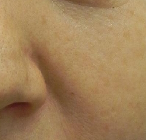
워낙 자외선에 신경을 안쓰고 살아온터라 기미가 올라오는줄도 모르고 살았습니다.
딸친구의 권유를 받아 피부과를 가게 되었는데 레이져 토닝을 권유하시더라구요.
처음에는 5회만 받기로했는데 점점 관리받으면서 좋아지는게 보이다 보니
욕심이 생겨서 5회추가로 받게되었습니다.
확실히 10회받으니깐 만족도가 더높은것같아요
예전보다 색소도 흐려지고 무엇보다 피부탄력이 붙은것같아서 기분이좋네요.
확실히 주변사람들에게 피부환해졌다는 말을 많이 듣습니다요즘.
이제는 날씨가 더워지니깐 잠깐쉬고 선선한 가을에 다시받으려고합니다.
그때 다시뵐께요.


