> HOME > 커뮤니티 > 체험후기
| 제목 : 눈가보톡스 맞고 왔어요~ | 등록일 : 15-05-27 20:56 | |||
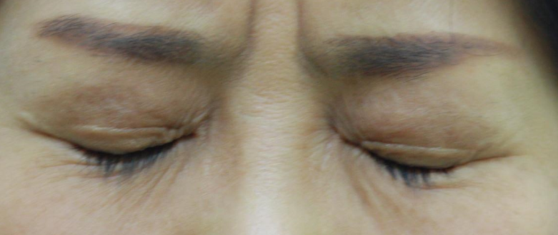
전
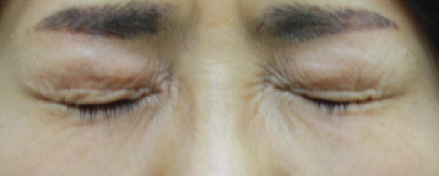
후
계속 기다리다 눈가보톡스 맞았어요~
일주일 정도 되니 서서히 효과있는게 느껴져요
무서워서 계속 기다리다가 맞았는데 정말 잘했다 생각들어요!!
원장님도 너무 친절하시고 직원들도 친절해서 다 마음에 들었어요
정말 100점병원입니다~
보톡스도 꾸준히 맞으면 유지기간이 더 길어진다니 앞으로 윈클리닉만 다닐거에요~
| 이전글 | 코필러 했어요~ | 2015-05-27 |
| 다음글 | 눈밑필러 했어용 >< | 2015-05-27 |